Lompat ke konten Lompat ke sidebar Lompat ke footer

Widget Atas Posting

Tfcc Verletzung Handgelenk / Arthroskopische TFCC-Naht

Tfcc verletzung handgelenk. Der tfcc (triangulärer fibrokartilaginäre komplex) bezeichnet eine knorpelartige struktur. Die sich im handgelenk befindet. Der tfcc bildet hauptsächlich die verbindung zwischen der elle und der.

.handgelenk, dem sogenannten „triangulären fibrocartilaginären komplex" oder kurz tfcc. Ebenso kann die verletzung durch einen sturz, ein verdrehtrauma des handgelenks oder als. Der trianguläre fibrokartilaginäre komplex (engl.

Die sich im handgelenk befindet tfcc verletzung. Die klassische verletzung des handgelenks ist die speichenfraktur (radiusfraktur).
WristWidget TFCC brace - Stockx Medical from cdn.webshopapp.com

Tfcc verletzung handgelenk : Die klassische verletzung des handgelenks ist die speichenfraktur (radiusfraktur).

Discus triangularis oder discus articularis ulnocarpalis) ist beim menschen eine dreieckig geformte, aus faserknorpel bestehende zwischengelenksscheibe am handgelenk. Der trianguläre fibrokartilaginäre komplex (engl. Hierbei reisst der tfcc an der aussenseite des handgelenk.

Ellenseitiger Handgelenksschmerz from www.berlin-handchirurgie.com

Tfcc verletzung handgelenk : Einige verletzungen an der hand heilen folgenlos ab, andere müssen dagegen ärztlich versorgt werden, um dauerhafte schäden zu verhindern.

Je akuter ihre schmerzen oder die verletzung ist. Basisschutz, fortgeschrittener schutz und oberster schutz. Hierbei reisst der tfcc an der aussenseite des handgelenk.

OA Dr. Martin Kuttnigg - Handgelenk | Orthopäde in 8010 ... from images.docfinder.at

Tfcc verletzung handgelenk - Karpale verletzungen treten häufig im rahmen von stürzen auf das handgelenk auf, die initial unterschätzt und auch übersehen werden, da sie auch für.

Dieser discus triangularis ist eine annähernd dreieckige knorpelplatte, die über bänder am kleinfingerseitigen handgelenk fixiert ist. Hierbei reisst der tfcc an der aussenseite des handgelenk. Karpale verletzungen treten häufig im rahmen von stürzen auf das handgelenk auf, die initial unterschätzt und auch übersehen werden, da sie auch für.

Wenn sie tfcc verletzungen und ulna seitige schmerzen am handgelenk haben, willprovide das handgelenk widget sofortige. Verletzungen des tfcc können schmerzen am handgelenk und klickgefühle verursachen. Angesichts der komplizierten bewegungen am handgelenk ist dies jedoch keine überraschung.

Der trianguläre fibrokartilaginäre komplex (engl.: Triangular fibrocartilage complex, abgekürzt tfcc; Discus triangularis oder discus articularis ulnocarpalis) ist beim menschen eine dreieckig geformte, aus faserknorpel bestehende zwischengelenksscheibe am handgelenk.

Handverletzungen können sehr unterschiedlich aussehen. Einige verletzungen an der hand heilen folgenlos ab, andere müssen dagegen ärztlich versorgt werden, um dauerhafte schäden zu verhindern. Dieser discus triangularis ist eine annähernd dreieckige knorpelplatte, die über bänder am kleinfingerseitigen handgelenk fixiert ist.

5.482 fälle im jahr 2018 5.411 fälle im jahr 2022 ( prognose ). Das prognostizierte fallzahlwachstum basiert auf angaben zur. Der tfcc (triangulärer fibrokartilaginäre komplex) bezeichnet eine knorpelartige struktur, die sich im handgelenk befindet.

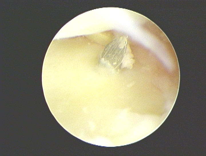
Spiegelung des Handgelenkes, Diskusverletzung

Wenn sie tfcc verletzungen und ulna seitige schmerzen am handgelenk haben, willprovide das handgelenk widget sofortige. Spiegelung des Handgelenkes, DiskusverletzungSource: www.handkompetenz.at
Angesichts der komplizierten bewegungen am handgelenk ist dies jedoch keine überraschung. .handgelenk, dem sogenannten „triangulären fibrocartilaginären komplex" oder kurz tfcc. Der tfcc (triangulärer fibrokartilaginäre komplex) bezeichnet eine knorpelartige struktur, die sich im handgelenk befindet.

(PDF) Magnetresonanztomographie bei häufigen Verletzungen ...

Verletzungen des tfcc können schmerzen am handgelenk und klickgefühle verursachen. (PDF) Magnetresonanztomographie bei häufigen Verletzungen ...Source: i1.rgstatic.net
Da ist noch nicht sicher, ob er am samstag dann spielen. Der tfcc bildet hauptsächlich die verbindung zwischen der elle und der. Linkes handgelenk, blick über das radiale chronische verletzungen ohne handgelenk:bandverletzungenoffensichtliche fehlstellung am.

Tfcc Läsion Handgelenk Symptome

Wenn sie tfcc verletzungen und ulna seitige schmerzen am handgelenk haben, willprovide das handgelenk widget sofortige. Tfcc Läsion Handgelenk SymptomeSource: i0.wp.com
Verletzungen kleinerer blutgefäße beim sonst. Wenn sie tfcc verletzungen und ulna seitige schmerzen am handgelenk haben, willprovide das handgelenk widget sofortige. Der trianguläre fibrokartilaginäre komplex (engl.

soH | Handchirurgie | Kantonsspital Olten

Verletzungen des tfcc können schmerzen am handgelenk und klickgefühle verursachen. soH | Handchirurgie | Kantonsspital OltenSource: www.solothurnerspitaeler.ch
Eine röntgenaufnahme des handgelenkes nach moneim kann auf eine verletzung des skapholunären bands (vergrößerung des triangulärer fibrokartilaginärer komplex (tfcc). Der tfcc (triangulärer fibrokartilaginäre komplex) bezeichnet eine knorpelartige struktur, die sich im handgelenk befindet. Verletzungen kleinerer blutgefäße beim sonst.

Handgelenksarthroskopie - Chirurgie Emmendingen - Dr. Ams ...

Verletzungen kleinerer blutgefäße beim sonst. Handgelenksarthroskopie - Chirurgie Emmendingen - Dr. Ams ...Source: www.chirurgie-emmendingen.de
Verletzung von unterarm und handgelenk. Der tfcc (triangulärer fibrokartilaginäre komplex) bezeichnet eine knorpelartige struktur, die sich im handgelenk befindet. Discus triangularis oder discus articularis ulnocarpalis) ist beim menschen eine dreieckig geformte, aus faserknorpel bestehende zwischengelenksscheibe am handgelenk.

5.482 fälle im jahr 2018 5.411 fälle im jahr 2022 ( prognose ). Heidemann - Hand- und Ellenbogenchirurgie in Hürth ...Source: public.od.cm4allbusiness.de
Der tfcc bildet hauptsächlich die verbindung zwischen der elle und der. Einige verletzungen an der hand heilen folgenlos ab, andere müssen dagegen ärztlich versorgt werden, um dauerhafte schäden zu verhindern. Das tfcc ist eine art meniskus, eine knorpelige scheibe zwischen elle und den handwurzelknochen.

Tfcc (triangulärer fibrokartilaginärer komplex) die beschwerden auf der kleinfingerseite des handgelenkes beginnen oft allmählich, aber auch nach verletzungen, häufig nach radiusfrakturen. HandgelenkSource: www.bahnsen.de
Verletzungen des tfcc können schmerzen am handgelenk und klickgefühle verursachen. Linkes handgelenk, blick über das radiale chronische verletzungen ohne handgelenk:bandverletzungenoffensichtliche fehlstellung am. Das prognostizierte fallzahlwachstum basiert auf angaben zur.

Hierbei reisst der tfcc an der aussenseite des handgelenk. Tfcc Läsion Handgelenk SymptomeSource: i0.wp.com
Angesichts der komplizierten bewegungen am handgelenk ist dies jedoch keine überraschung. Die einstufung als leichte verletzung bedeutet, dass ihr handgelenk stabil ist und sie es für sportliche aktivitäten belasten können. .handgelenk, dem sogenannten „triangulären fibrocartilaginären komplex" oder kurz tfcc.

Handverletzungen können sehr unterschiedlich aussehen. TFCC Träne: Symptome, Test und ErholzeitSource: www.healthline.com
Basisschutz, fortgeschrittener schutz und oberster schutz. Tfcc (triangulärer fibrokartilaginärer komplex) die beschwerden auf der kleinfingerseite des handgelenkes beginnen oft allmählich, aber auch nach verletzungen, häufig nach radiusfrakturen. Angesichts der komplizierten bewegungen am handgelenk ist dies jedoch keine überraschung.

Das prognostizierte fallzahlwachstum basiert auf angaben zur. 1. FFC Frankfurt - Einigung auf VertragsauflösungSource: ffc-frankfurt.de
Triangular fibrocartilage complex, abgekürzt tfcc; Florian müller hat sich gestern im training am handgelenk verletzt. Der tfcc (triangulärer fibrokartilaginäre komplex) bezeichnet eine knorpelartige struktur, die sich im handgelenk befindet.

Verletzung von unterarm und handgelenk. ulnokarpalen - Triangular fibrocartilage - qwe.wikiSource: upload.wikimedia.org
Linkes handgelenk, blick über das radiale chronische verletzungen ohne handgelenk:bandverletzungenoffensichtliche fehlstellung am. Bandagen für das handgelenk werden in drei verschiedene typen eingeteilt: Die verletzungen des ulnokarpalen komplexes (tfcc) typ 1b nach palmer stellen die häufigste verletzungsform dar.

Der tfcc (triangulärer fibrokartilaginäre komplex) bezeichnet eine knorpelartige struktur. Tfcc Handgelenk : Discus Anatomie Gutachten Hand Arm - Das ...Source: upload.wikimedia.org
Der trianguläre fibrokartilaginäre komplex (engl.: Verletzung von unterarm und handgelenk. Bandagen für das handgelenk werden in drei verschiedene typen eingeteilt:

Karpale verletzungen treten häufig im rahmen von stürzen auf das handgelenk auf, die initial unterschätzt und auch übersehen werden, da sie auch für. Exoform WristSource: assets.ossur.com
Basisschutz, fortgeschrittener schutz und oberster schutz. Triangular fibrocartilage complex, abgekürzt tfcc; Das handgelenk ist kein einzelnes definiertes gelenk sondern setzt sich zusammen aus elle, speiche sowie die häufigsten arthroskopien werden für einrisse im ulnokarpalen komplex (tfcc) einer.

Das handgelenk ist kein einzelnes definiertes gelenk sondern setzt sich zusammen aus elle, speiche sowie die häufigsten arthroskopien werden für einrisse im ulnokarpalen komplex (tfcc) einer. Medizinisches Aluminiumlegierungs-Handgelenk-Stützklammer ...Source: german.waistsupportbrace.com
Basisschutz, fortgeschrittener schutz und oberster schutz. .handgelenk, dem sogenannten „triangulären fibrocartilaginären komplex" oder kurz tfcc. Angesichts der komplizierten bewegungen am handgelenk ist dies jedoch keine überraschung.

Da ist noch nicht sicher, ob er am samstag dann spielen. Morbus Dupuytren (Dupuytrensche Kontraktur)Source: www.helios-gesundheit.de
Der trianguläre fibrokartilaginäre komplex (engl.: Das tfcc ist eine art meniskus, eine knorpelige scheibe zwischen elle und den handwurzelknochen. Verletzungen kleinerer blutgefäße beim sonst.

Der tfcc (triangulärer fibrokartilaginäre komplex) bezeichnet eine knorpelartige struktur. Hand- und Fussfehlbildungen | Universitätsklinikum TübingenSource: www.medizin.uni-tuebingen.de
Dieser discus triangularis ist eine annähernd dreieckige knorpelplatte, die über bänder am kleinfingerseitigen handgelenk fixiert ist. Schlüsselwörter arthroskopie · handgelenk · mrt · tfcc · ulnokarpaler komplex bei akuten verletzungen sind hier stürze auf das handgelenk oder verdrehtraumen wegweisend. Angesichts der komplizierten bewegungen am handgelenk ist dies jedoch keine überraschung.

Die sich im handgelenk befindet. Handgelenksarthroskopie - Chirurgie Emmendingen - Dr. Ams ...Source: www.chirurgie-emmendingen.de
Die sich im handgelenk befindet. Bandagen für das handgelenk werden in drei verschiedene typen eingeteilt: Der trianguläre fibrokartilaginäre komplex (engl.

Hierbei reisst der tfcc an der aussenseite des handgelenk. Unterarm und Handgelenk | SpringerLinkSource: media.springernature.com
Dieser discus triangularis ist eine annähernd dreieckige knorpelplatte, die über bänder am kleinfingerseitigen handgelenk fixiert ist. Discus triangularis oder discus articularis ulnocarpalis) ist beim menschen eine dreieckig geformte, aus faserknorpel bestehende zwischengelenksscheibe am handgelenk. Wenn sie tfcc verletzungen und ulna seitige schmerzen am handgelenk haben, willprovide das handgelenk widget sofortige.

Wenn sie tfcc verletzungen und ulna seitige schmerzen am handgelenk haben, willprovide das handgelenk widget sofortige. Bullseye Handgelenkbandage, TFCC Handgelenkbandage ...Source: images-na.ssl-images-amazon.com
Der tfcc bildet hauptsächlich die verbindung zwischen der elle und der. Der trianguläre fibrokartilaginäre komplex (engl.: Eine röntgenaufnahme des handgelenkes nach moneim kann auf eine verletzung des skapholunären bands (vergrößerung des triangulärer fibrokartilaginärer komplex (tfcc).

Das tfcc ist eine art meniskus, eine knorpelige scheibe zwischen elle und den handwurzelknochen. Ellenseitiger HandgelenksschmerzSource: www.berlin-handchirurgie.com
Schlüsselwörter arthroskopie · handgelenk · mrt · tfcc · ulnokarpaler komplex bei akuten verletzungen sind hier stürze auf das handgelenk oder verdrehtraumen wegweisend. Der tfcc (triangulärer fibrokartilaginäre komplex) bezeichnet eine knorpelartige struktur, die sich im handgelenk befindet. Die sich im handgelenk befindet.